O Acidente Vascular Cerebral (AVC) continua sendo uma das principais causas de morte no Brasil. Só neste ano, entre janeiro e outubro, mais de 64 mil brasileiros morreram por causa da doença — o que equivale a uma morte a cada seis minutos, segundo o Ministério da Saúde.
Especialistas afirmam que oito em cada dez casos poderiam ser evitados com medidas simples: controlar a pressão arterial, abandonar o cigarro, praticar atividades físicas e cuidar da alimentação. A hipertensão, silenciosa e muitas vezes ignorada, é apontada como o principal fator de risco.

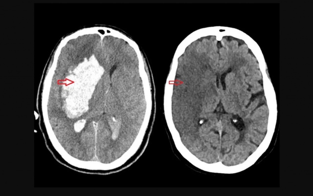
O AVC pode ser isquêmico (quando há entupimento de vasos sanguíneos, responsável por 85% dos casos) ou hemorrágico (causado por rompimento de vasos). O primeiro é mais comum; o segundo, mais grave.
A doença, antes associada a idosos, vem crescendo entre os jovens. Dados da Sociedade Brasileira de AVC mostram que os casos em pessoas com menos de 45 anos aumentaram 66% na última década. Médicos atribuem o avanço ao sedentarismo, cigarro eletrônico, uso de anabolizantes e anticoncepcionais hormonais, além de estresse e noites mal dormidas.
Os sinais do AVC aparecem de forma súbita: rosto torto, fala enrolada, fraqueza em um dos lados do corpo e dor de cabeça intensa. Nesses casos, a orientação é agir rápido e chamar o SAMU (192). Quanto antes o atendimento, maiores as chances de recuperação.
Apesar dos avanços nos tratamentos, os especialistas reforçam: prevenir ainda é o melhor remédio.

